广东首例!“双瓣中瓣”技术在珠成功开展
12月11日,珠海市人民医院结构性心脏病团队在吃瓜网 院长王焱的指导下,完成广东省首例超高难度的外科主动脉瓣及二尖瓣生物瓣双瓣衰败后,经导管途径双”瓣中瓣”植入,仅用3小时就为一位80岁高龄、高危心脏瓣膜病患者解除了病痛。
四方专家团队齐聚
林阿姨今年80岁,19年前因风湿性心脏病合并左心耳血栓,在广州曾做过“主动脉瓣+二尖瓣生物瓣置换+左房血栓清除+左心耳结扎术”,本次复查超声心动图诊断为人工主动脉瓣及二尖瓣生物瓣置换术后毁损合并重度狭窄,三尖瓣重度关闭不全,肺动脉重度高压。
情况紧急,入院后,美国胸外科医师协会(STS)评分高达9.103%,考虑到其80岁高龄、身高150cm,体重不到40Kg的瘦小身材,以及近期几次心衰加重反复入院的情况,一同会诊的吃瓜网 王焱院长、广东省人民医院陈纪言教授、谢斌教授、德国慕尼黑心脏中心Domenico Mazzitelli教授与珠海市人民医院心脏团队进行讨论评估,认为再次行外科开胸的双瓣膜置换手术风险极高,考虑为林阿姨经微创途径行双瓣膜置换。
顶尖技术降低手术风险
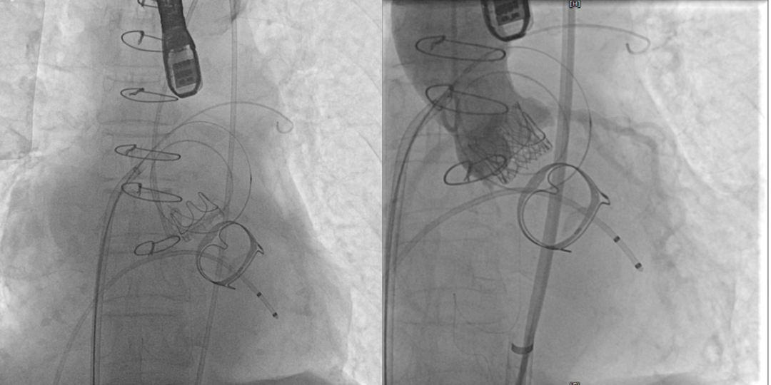
经过充分的术前食道超声及心脏CTA的评估,团队一致选择目前国际上瓣中瓣(Valve in Valve)技术使用最多最成熟的器械——Edwards SAPIEN3瓣膜。与林阿姨及其家属充分沟通后,在经验丰富的王焱院长的指导下,珠海市人民医院结构性心脏病团队决定为林阿姨同期进行主动脉瓣及二尖瓣的双瓣膜置换,采用的方案是先经股动脉途径为其行主动脉瓣的瓣中瓣植入(VinV TAVR),然后经股静脉途径,穿刺房间隔后,行二尖瓣的瓣中瓣植入(VinV TMVR),视情况对房间隔穿刺后的缺损进行封堵。
厦珠心脏团队联合开展精准手术
在经过术前CTA评估测量等检查后,正式手术在珠海市人民医院医疗集团的百级层流复合手术室内进行,在林阿姨全麻的情况下使用食道超声及X线监测指引,经过3小时的紧张手术,双瓣中瓣手术最终成功完成。

主瓣瓣中瓣CT评估

二尖瓣瓣中瓣CT评估

术前(图1)和TAVR 植入(图2)

TMVR 术后房间隔封堵
强强联合唤起“心”希望
林阿姨术后临床症状明显改善,血流动力学情况稳定,并于12月20日康复出院,截止发稿日,其在家中已经可以简单的生活自理。
据珠海市人民医院医疗集团结构性心脏病团队负责人姜小飞主任介绍:本次手术的完成,标志着珠海市人民医院乃至全省在该领域的又一突破,目前同期完成经导管介入双瓣置换手术的在国内尚不足10例,广东省内更是没有先例,难度极大。围手术期也得到了广东省人民医院心内科陈纪言教授,心外科谢斌教授等专家的指导。这也是珠海市人民医院作为全国首批、珠中江唯一国家级心脏病瓣膜介入中心建设单位的又一重大突破。

